Southeast Family Dental
Dr. Laura Geiger

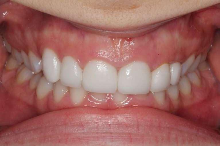
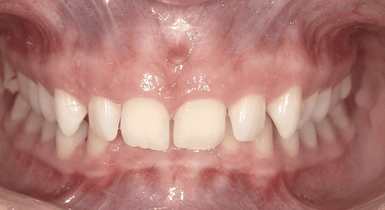
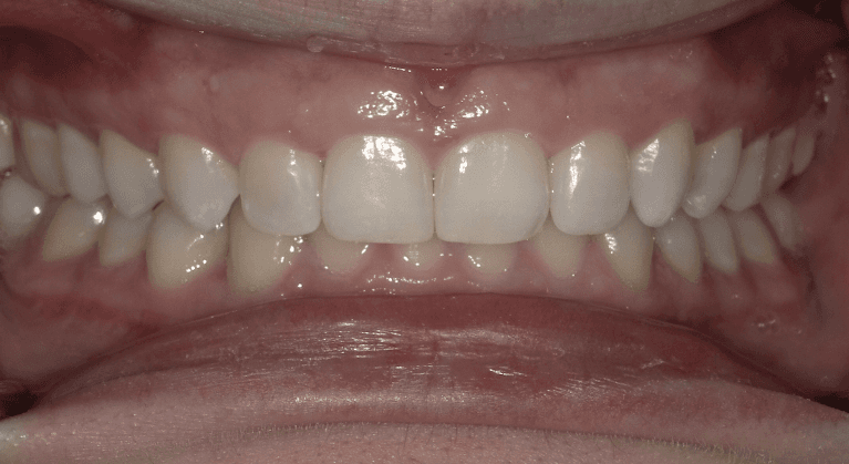
Smile Gallery

Do you wonder how a certain service or treatment would transform your smile? Check out our before and after photos to see the results we've created for some of our patients, then give us a call to get started!

Still need an appointment?
"You will enjoy being a patient of theirs."
If you have difficulty using our website, please email us or call us at (317) 359-8000
View the ADA Accessibility Statement
Privacy Policy