Southeast Family Dental
Dr. Laura Geiger
Porcelain Veneers
You Deserve a Flawless Smile

Veneers conceal cosmetic flaws to give you the stunning smile you've always wanted.

Porcelain Veneers | Dentist

Porcelain Veneers in Indianapolis

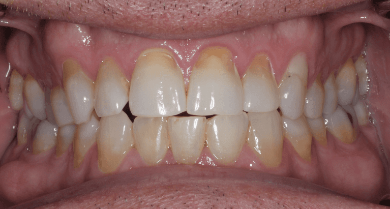
All smiles are inherently beautiful. However, if you’re unhappy with how yours looks, Southeast Family Dental offers porcelain veneers so your smile reflects the real you. Whether you have tooth gaps, discoloration, or minor misalignment, veneers can transform your smile and look completely natural.

How Porcelain Veneers Enhance Smiles Dr. Geiger, Dr. Jones, and Dr. Miller-Mouchaham at Southeast Family Dental

Veneers are ultra-thin shells of high-quality ceramic material, custom-crafted to fit over the front surface of your teeth. These durable restorations allow us to enhance the color, shape, size, and alignment of your teeth without significantly altering their natural structure.

Cosmetic Concerns Veneers Address

Porcelain veneers can effectively resolve numerous aesthetic concerns:

  • Gaps between teeth
  • Mild tooth misalignment
  • Persistent tooth stains or discoloration
  • Chipped, cracked, or broken teeth
  • Misshapen or undersized teeth

Why Porcelain Veneers Are a Great Choice

When it comes to transforming your smile, porcelain veneers available at our Indianapolis, IN, dental office offer several advantages that make them an excellent choice for many patients.
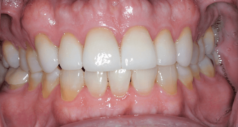
Blends with Your Smile
Porcelain veneers mimic the light-reflecting properties of natural tooth enamel. We custom color and shape each to blend seamlessly with surrounding teeth so that all anyone will notice is your beautiful, confident smile.
Multiple Uses
Veneers address multiple cosmetic concerns, from spacing issues to discoloration. Thanks to their versatility, veneers eliminate the need for multiple treatments and preserve more natural tooth structure than traditional crowns.
Resists Staining
Unlike natural teeth or bonding, porcelain veneers have a glasslike surface that resists staining and maintains their beautiful appearance for years. The ceramic material is durable and can last 10–15 years.

Frequently Asked Questions

A dentist showing a patient her porcelain veneersVeneers that are properly cared for and maintained can last 10–15 years or longer. However, their lifespan depends on several factors, including brushing and flossing habits, lifestyle choices, and bite alignment.

At Southeast Family Dental, we use only the highest-quality materials designed for durability while maintaining a natural appearance throughout their lifespan.

3 Tips to Extend Veneers' Lifespan

  1. Practice Excellent Oral Hygiene — To help your veneers last as long as possible, brush at least twice daily and floss once to avoid developing cavities and gum disease.
  2. Wear a Nightguard or Mouthguard — If you have a teeth-grinding habit, ask our dentists about a custom nightguard to prevent damage to your veneers during sleep. Wear a custom mouthguard if you participate in sports.
  3. Avoid Chips or Breaks — While veneers are made to last, treat them with care—don’t use your teeth as tools, bite into extremely hard foods, or open packages with your teeth.

Attend Routine Checkups

During your regular dental checkups at Southeast Family Dental, we check the condition and fit of your veneers. This ongoing monitoring helps identify any potential issues early, ensuring your veneers continue to look beautiful and function properly for many years.

Contact Southeast Family Dental at (317) 359-8000 to learn more about porcelain veneers and their care. We serve patients throughout Southeast Indianapolis and beyond, including Beech Grove, Franklin Township, and Warren Township.

Because our veneers are made of porcelain (pore-free), they are highly stain-resistant. However, they are not entirely immune to discoloration over time, especially if you overindulge in coffee, tea, and other tooth-staining foods and drinks.

To keep your veneers looking their best, do the following:

  • Brush at least twice daily.
  • Floss at least twice daily.
  • See your dentist every six months.

How Porcelain Veneers in Indianapolis Work

Porcelain veneers are thin but durable shells of high-quality porcelain, custom-designed to look natural alongside untreated teeth.

Your dentist cements your custom veneers across the fronts of teeth after removing a bit of enamel. Because we remove enamel, your veneers must be considered permanent. Lost or damaged veneers should be replaced as soon as possible to protect the underlying treated teeth.

Your dentist will assess your smile goals and tooth structure to ensure that porcelain veneers are a suitable cosmetic option for you.

Are You Considering Cosmetic Dentistry in Indianapolis?

If you would like to schedule a cosmetic consultation with the dentist or if you have questions about our treatments and services, call us today.

We are happy to accept CareCredit financing, and we encourage potential patients to check out our in-house savings plan.

When it comes to cosmetic dentistry, you oversee your smile goals. We simply use the available options to help you achieve them. So, yes, you can veneer a single tooth or several, depending on your goals.

Dental veneers in Indianapolis can conceal the following cosmetic issues:

  • Short and worn teeth
  • Gummy appearing smiles
  • Tooth discoloration and stains
  • Tooth chips and cracks
  • Slightly crooked or misaligned teeth
  • Small gaps between teeth
  • Tooth shape abnormalities

During your consultation, your cosmetic dentist in Indianapolis examines your teeth to ensure veneers are suitable for you. Then we prepare your teeth (or tooth), take impressions, and fabricate your veneers for placement.

About Tooth-Colored and Cosmetic Restorations

Porcelain veneers are one option for a smile upgrade or transformation, but there are alternatives, such as dental bonding and dental crowns, to consider.

Many modern restorations are both functional and aesthetic, enhancing your smile’s beauty while protecting or promoting better oral health and function.

For Porcelain Veneers in Indianapolis, Contact Us

To learn more about our cosmetic dentistry options or to schedule a consultation, contact us today.

Our team accepts financing through CareCredit, a dental/medical credit card that offers various financing options, including no-interest and low-interest programs. A team member can help you apply.

The Process for Getting Veneers

A smiling woman showing off her new veneersGetting porcelain veneers at our Indianapolis dental office requires minor alterations to the tooth structure, making them a lifelong commitment. Our cosmetic dentists take time to ensure you understand all aspects of the treatment before we proceed. 

  1. Consultation and Planning — We perform a comprehensive oral health evaluation and discuss your smile vision. This step includes a thorough discussion about expectations, treatment options, and the long-term commitment veneers require.
  2. Preparation and Temporaries — Our cosmetic dentist carefully prepares your teeth by removing a thin layer of enamel for a perfect fit. We take detailed impressions and place temporary veneers while a custom lab crafts the final ones.
  3. Final Veneer Placement — When your custom veneers are ready, we check their fit, color, and appearance. We ensure you're delighted with their look and feel before adjusting and cementing them securely in place.

Please note that we can only place veneers on healthy teeth. If we detect conditions like cavities or gum disease during your evaluation, we'll address them first to ensure long-term success for your veneers.

Caring for Your Investment

With proper care, porcelain veneers can maintain their beauty for many years. We provide comprehensive maintenance instructions and recommend regular checkups to monitor your veneers' condition and protect your investment.

Begin Your Smile Transformation

Schedule a consultation at Southeast Family Dental by calling (317) 359-8000 to see if porcelain veneers are right for you. We proudly serve patients throughout Southeast Indianapolis, including Beech Grove, Franklin Township, Warren Township, and surrounding communities, providing expert cosmetic dental care in a comfortable, welcoming environment.

  • Dr. Laura Geiger

    Dr. Geiger is a third-generation dentist, following in the footsteps of her father and grandfather. She joined Southeast Family Dental in 2011 after she graduated from Indiana University School of ...

    View More
  • Dr. Katie Jones

    Dr. Jones graduated from Center Grove High School and received her bachelor's degree from Purdue University. She then attended Indiana University School of Dentistry, where she received her degree in ...

    View More
  • Dr. Laura Miller-Mouchaham

    Dr. Miller Mouchaham is grateful to be back home in Indianapolis and seeing patients at Southeast Family Dental. A Franklin Township native, she graduated from Indiana University Bloomington and attended ...

    View More

Testimonial - "Everyone here is so good at listening."

If you have difficulty using our website, please email us or call us at (317) 359-8000
View the ADA Accessibility Statement
Privacy Policy