Southeast Family Dental
Dr. Laura Geiger

Porcelain Veneers

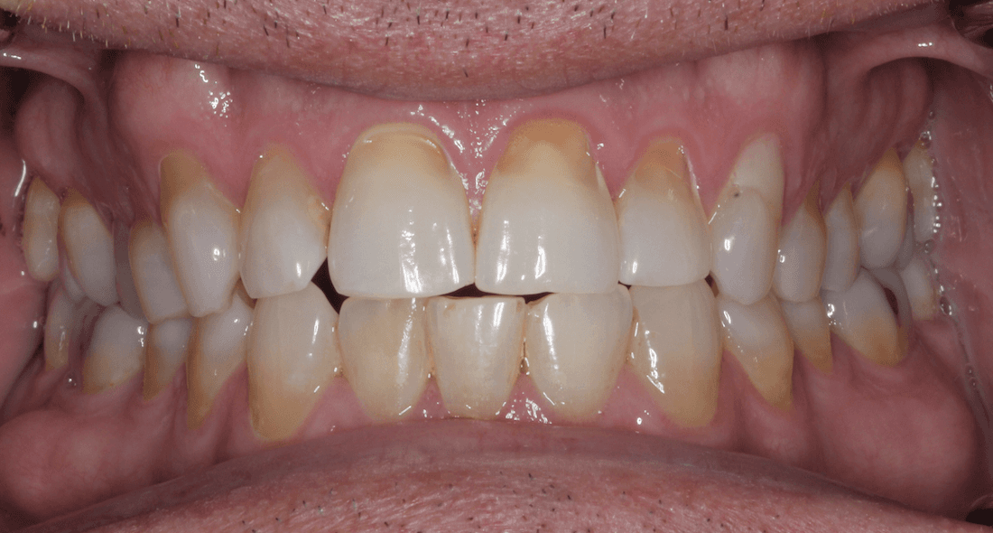
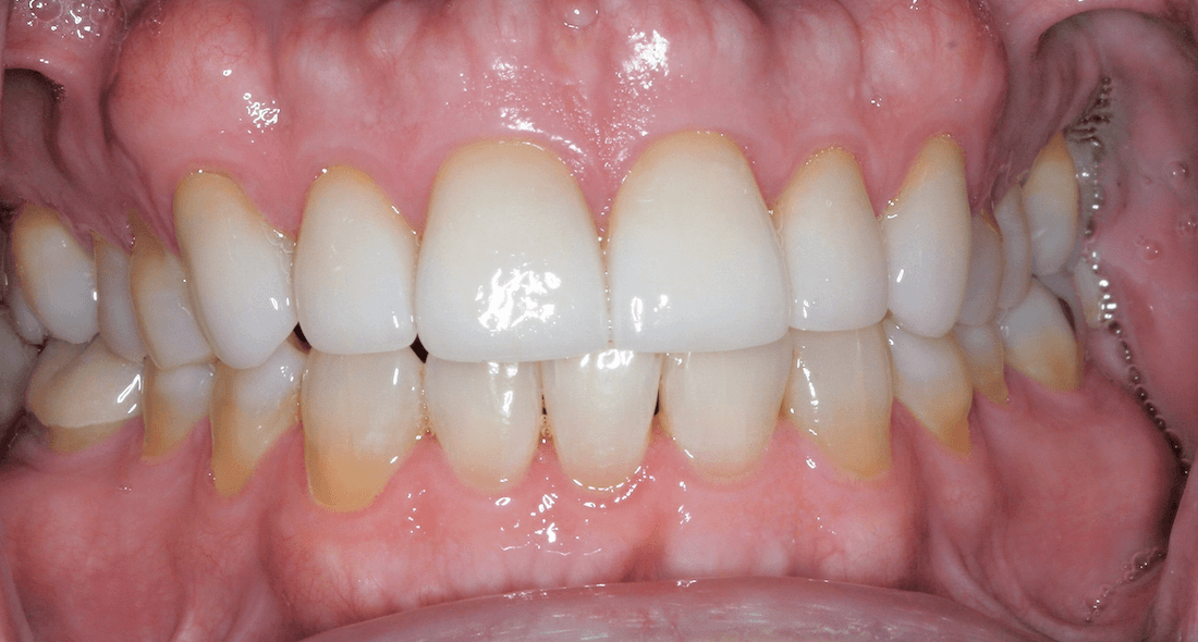
We had so much fun with this patient's surprise veneers from his wife. He was self conscious, but unsure of paying for them so his wife surprised him!
 

Related Services:

Porcelain Veneers
Patient smile before getting porcelain veneers Patient teeth after getting veneers at Southeast Family Dental
Ready to book an appointment?
If you have difficulty using our website, please email us or call us at (317) 359-8000
View the ADA Accessibility Statement